DENTAL IMPLANTS
Our Implant Specialists have 20+ Years of Dental experience, have undergone advanced training in Periodontics, Implants and Sedation dentistry from Top US Universities.
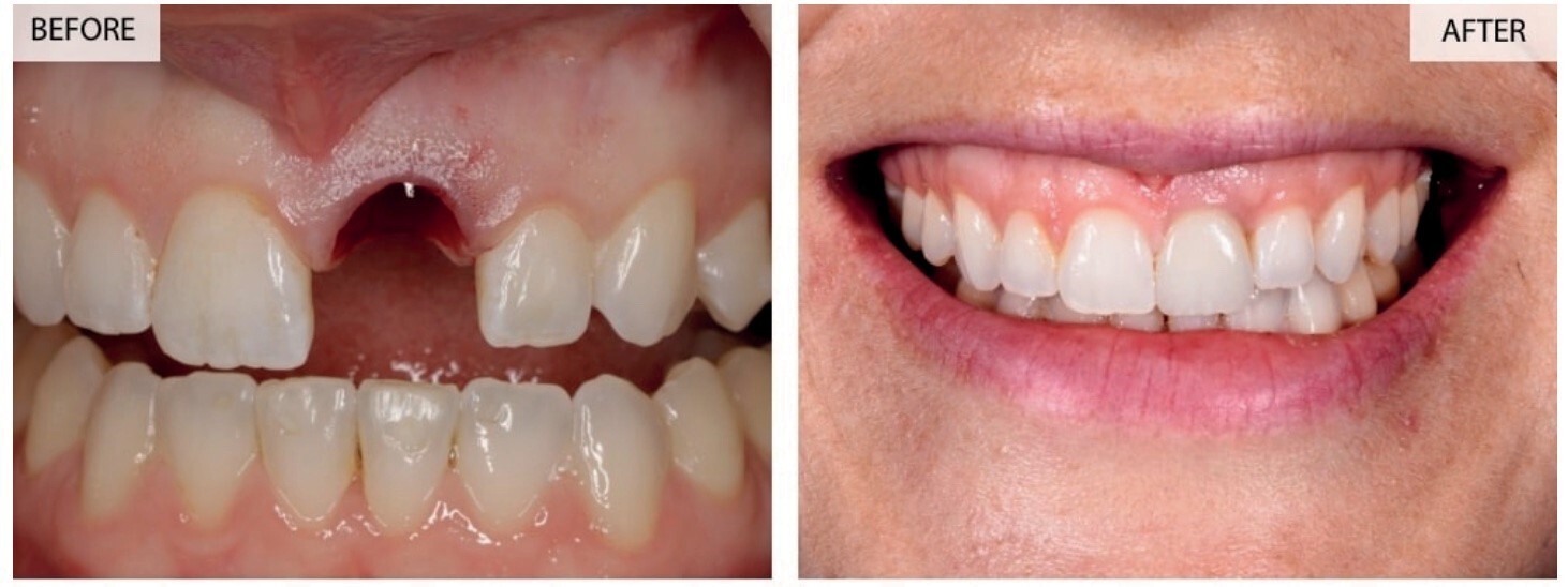
Single Tooth Dental Implant
What could happen if I do not Replace missing Teeth?
It may result in one or many of the following conditions – Bone Loss, Shifting Teeth, Altered Bite and Chewing Difficulties, Increased Risk of Tooth Decay and Gum Disease, Aesthetic Concerns, Speech Issues, Reduced Self- Esteem
Different Types of Implants:
Replacing a single tooth – dental crown on implant
Replacing several teeth – dental bridge on implants
Replacing all teeth – dental hybrid denture (fixed)
Replacing all teeth – implant- supported overdenture
DENTAL IMPLANT PARTS:
Different Types of Implants:
- Replacing a single tooth – dental crown on implant
Replacing several teeth – dental bridge on implants
Replacing all teeth – dental hybrid denture (fixed)
Replacing all teeth – implant- supported overdenture
DENTAL IMPLANT PROCEDURE
Natural Look and Feel, Improved Oral Health, Improved Eating & Speaking, Bone Preservation, Durability, Convenience
- Thorough examination
Your clinical situation is examined and an image of your jawbone is taken to determine the placement of the dental implant(s). An impression is made that serves as “guide” for the entire treatment. - Inserting the dental implant(s)
The dental implant(s) and a temporary tooth or prosthesis are put in place. In some cases, the dental implant can be loaded immediately although this depends on your bone condition. - Healing period
Following the surgical procedure there is a period of healing before your final new teeth are attached. This period allows the dental implant(s) to fully integrate into your jawbone. - Attaching the abutment(s)
Following the appropriate healing period, you return to your dentist and receive your final abutment(s), to which your new teeth will be attached. A new impression is made. - Producing your new teeth
Following the appropriate healing period, you return to your dentist and receive your final abutment(s), to which your new teeth will be attached. A new impression is made. - Fitting and follow-up
Your dentist attaches your new tooth/teeth to the abutment(s) followed by functionality and esthetic checks to make sure you are completely satisfied.